성신여대치과
병원소개
인사말
의료진소개
장비소개
둘러보기
오시는 길
진료시간안내
임플란트
임플란트?
스트라우만
전체임플란트
앞니/어금니임플란트
앞니/어금니임플란트 장점
앞니임플란트
어금니임플란트
비절개임플란트
원데이임플란트
틀니임플란트
임플란트재수술
임플란트 시술 후 관리
더편한치과의 임플란트시스템
치아교정
치아교정이란?
증상별 교정
돌출입
덧니
무턱
주걱턱
벌어진 치아
개방교합
반대교합
옥니
뻐드렁니
비대칭
장치별 교정
금속
세라믹
클리피씨
데이몬클리어
투명
인비절라인
설측
인코그니토
콤비
미니튜브
방법별 교정
급속
부분
원데이
비발치
예방교정(소아교정)
재교정
치아교정 후 주의사항
심미치료
심미치료란?
라미네이트
라미네이트란?
노컷라미네이트
라미네이트재시술
올세라믹
잇몸성형
치아미백
잇몸미백
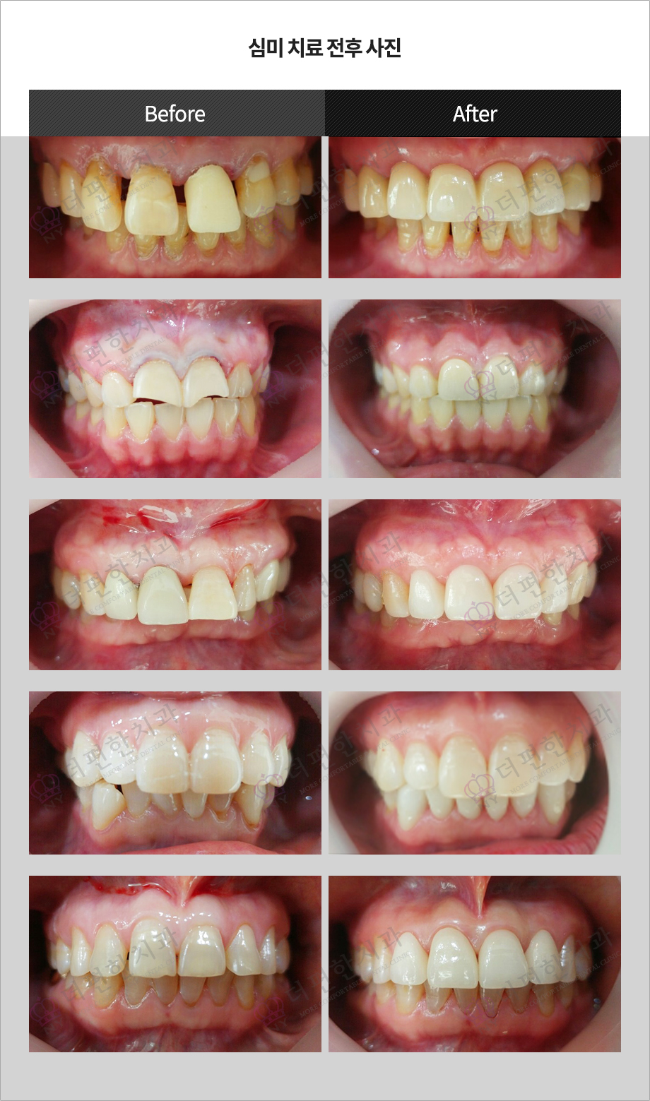
더편한치과의 심미치료전후사진
일반치료
충치치료
충치치료란?
충치치료방법
신경치료
치주치료
사랑니발치
스케일링
시린이
예방치료
틀니
금연치료
턱관절치료
소아치료
영유아 구강검진
소아예방치료
소아충치치료
공지사항
상담문의
성신여대치과
병원소개
임플란트
치아교정
심미치료
일반치료
소아치료
공지사항
인사말
의료진소개
장비소개
둘러보기
오시는 길
진료시간안내
임플란트?
스트라우만
전체임플란트
앞니/어금니임플란트
비절개임플란트
원데이임플란트
틀니임플란트
임플란트재수술
임플란트 시술 후 관리
더편한치과의 임플란트시스템
치아교정이란?
증상별 교정
장치별 교정
방법별 교정
치아교정 후 주의사항
심미치료란?
라미네이트
올세라믹
잇몸성형
치아미백
잇몸미백
더편한치과의 심미치료전후사진
충치치료
신경치료
치주치료
사랑니발치
스케일링
시린이
예방치료
틀니
금연치료
턱관절치료
영유아 구강검진
소아예방치료
소아충치치료
앞니/어금니임플란트 장점
앞니임플란트
어금니임플란트
돌출입
덧니
무턱
주걱턱
벌어진 치아
개방교합
반대교합
옥니
뻐드렁니
비대칭
금속
세라믹
클리피씨
데이몬클리어
투명
인비절라인
설측
인코그니토
콤비
미니튜브
급속
부분
원데이
비발치
예방교정(소아교정)
재교정
라미네이트란?
노컷라미네이트
라미네이트재시술
충치치료란?
충치치료방법
심미치료
더편한치과의 심미치료전후사진
심미치료란?
라미네이트
올세라믹
잇몸성형
치아미백
잇몸미백
더편한치과의 심미치료전후사진
더편한치과
진료예약
카카오톡상담
온라인상담
TOP